Ultraprosessoidun ruuan runsas syöminen voi näkyä rasvana lihaksen sisällä, kertoo tuore yhdysvaltalaistutkimus.
Kalifornian yliopistossa tehdyn tuoreen tutkimuksen mukaan ultraprosessoidun ruoan suuri osuus ruokavaliossa voi näkyä rasvakertymänä reisilihaksissa. Tutkimus esiteltiin Radiology-julkaisussa, ja siitä on uutisoinut muun muassa CNN.
Tutkijat tarkastelivat magneettikuvia ihmisiltä, joilla oli riski sairastua polven nivelrikkoon.
Lue myös: Monessa ruoassa piilee näkymätön uhka – vaikutuksia ei vielä tiedetä
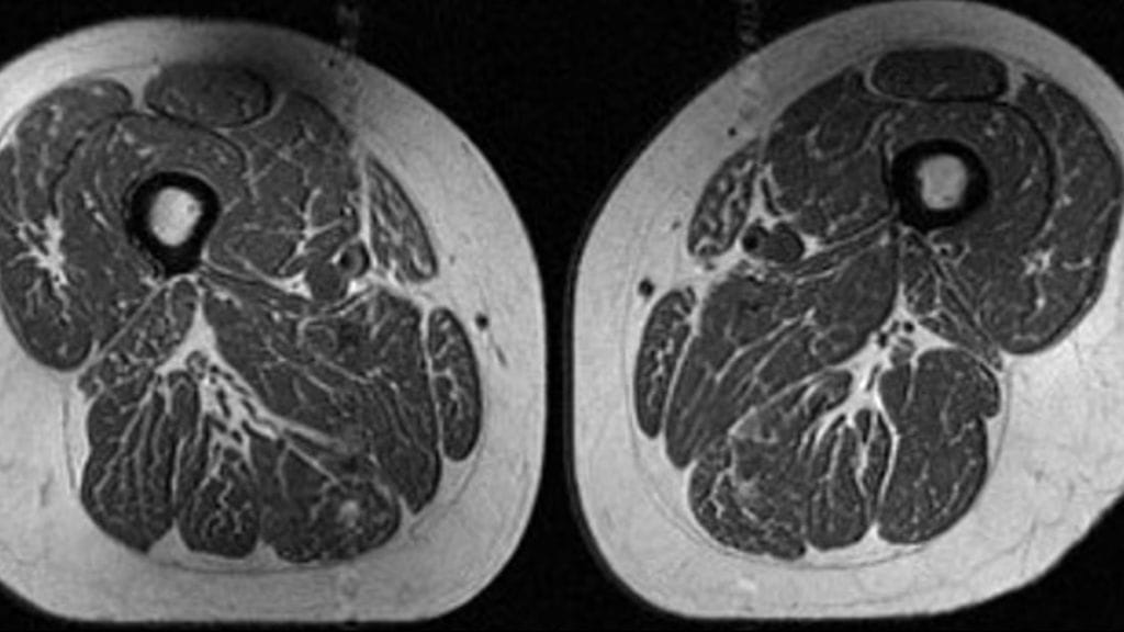
Tutkimusryhmän julkaisema magneettikuva 62-vuotiaan naisen reidestä näyttää voimakkaasti "marmoroituneelta" samalla tavalla kuin vaikkapa entrecôt-pihvi.
Tutkijoiden mukaan nainen sai 87 prosenttia vuosittaisista kaloreistaan ultraprosessoidusta ruoasta.
– Tämän osallistujan ruokavalio koostui pääosin kylmistä muroista, suklaakarkeista tai karkkipatukoista, tavallisista virvoitusjuomista tai pullotetuista sokerijuomista, sanoo tutkimusta johtanut Zehra Akkaya CNN:n haastattelussa.
Lue myös: Makeutusaineilla on yhteys muistin heikkenemiseen – näin paljon ikääntyminen kiihtyi
Rasvajuovat voivat olla merkki ongelmista
Akkayan mukaan lihassyiden väliin ja sisään kertyvät rasvajuovat voivat viitata vakaviin terveysongelmiin. Tutkimus analysoi, miten ultraprosessoitu ruoka vaikuttaa lihaksensisäiseen rasvaan ihmisillä, joilla on riski polven nivelrikkoon.

