Joskus suolistoon pesiytyneet loiset voivat olla seurausta seksuaalisesta kanssakäymisestä, osoittaa BMJ Case Reports -julkaisun raportoima tapaus.
Elimistössä lymyävä loinen ei ole sen mukavampi vieras kuin sukupuolitautikaan, mutta joskus kaksi pahaa voivat kulkea käsi kädessä, kuten IFL Science -sivusto muotoilee.
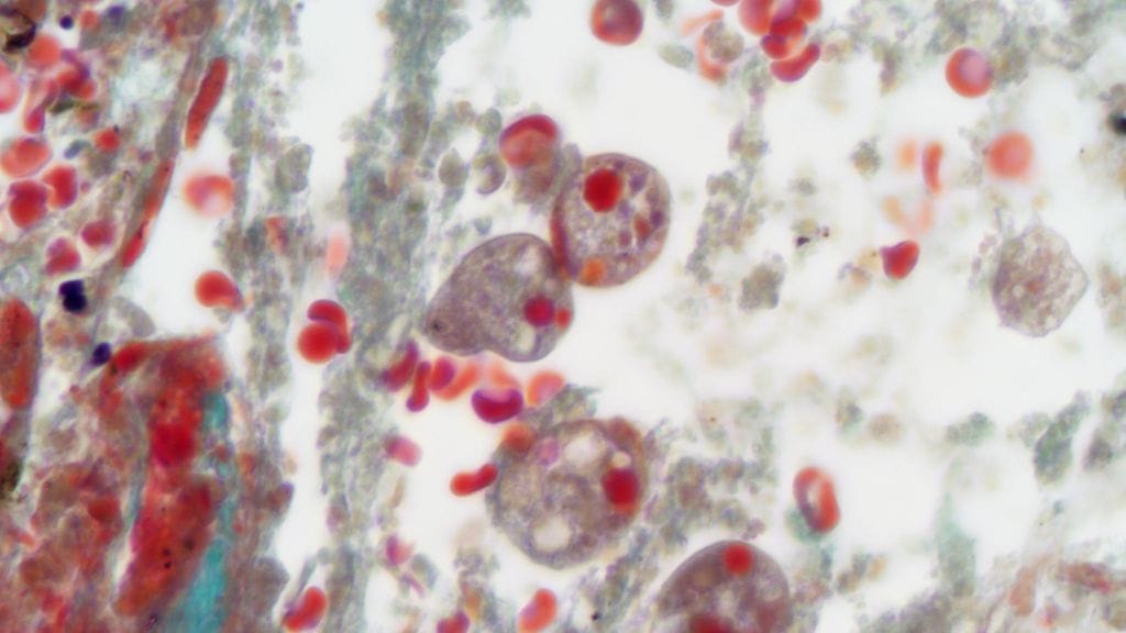
Harvinaisessa tapauksessa trooppisilla alueilla esiintyvä suoliameba Entamoeba histolytica oli nimittäin löytänyt tiensä ranskalaismiehen elimistöön seksin välityksellä.
Suoliameba tarttuu tyypillisesti saastuneesta ruoasta ja juomasta
67-vuotias mies hakeutui lääkäriin maksakivun ja kuumeen vuoksi. Kuusi kuukautta aiemmin miehellä oli alkanut tartuntaan viittaava oire, verinen ripuli. Puolen vuoden aikana mies oli laihtunut viisi kiloa. Lääkärien määräämät lääkkeet eivät olleet tehonneet ripuliin.
Myöhempi ulostenäyte paljasti loistartunnan. Omituisen asiasta teki se, että mies ei ollut koskaan matkustanut Euroopan ulkopuolelle trooppisille tai subtrooppisille vyöhykkeille, joilla suoliamebatartunta yleensä tapahtuu ameban kystamuotoja sisältävän ruoan ja juoman välityksellä. Tartunnan oireet alkavat aikaisintaan viikon kuluttua tartunnasta, joskus vasta muutaman kuukauden kuluttua, kertoo Terveyskirjasto artikkelissaan.
Ravinnon sijaan mies oli saanut tartunnan naisystävältään, lääkärit kirjoittavat.


