Kalifornialaisteinin "nielemisvaikeuksien" syyksi paljastui kurkkuun jumahtanut kolikko, kertoo People-sivusto.
14-vuotias poika joutui ensiapuun sen jälkeen, kun hän nieli vahingossa neljännesdollarin kolikon. Se jäi hänen hengitysteihinsä.
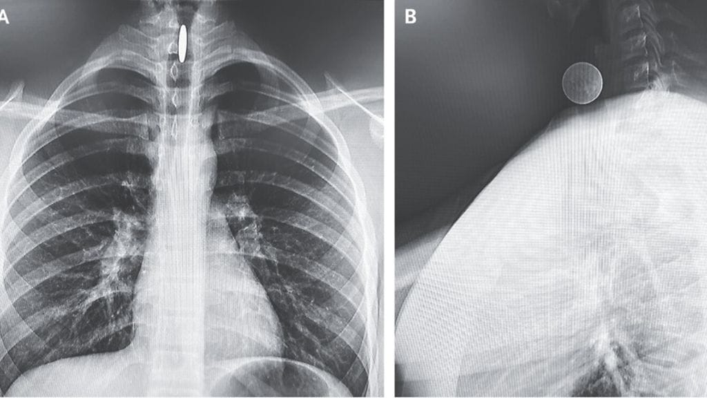
Neljännesdollarin kolikon halkaisija on 24,26 millimetriä ja paksuus 1,75 millimetriä.
Lue myös: Mitä tapahtuu, jos nielaisee purukumin? Asiantuntijat kertovat, onko siitä haittaa
Käheä kurkku ja nielemisvaikeuksia
New England Journal of Medicine -lehdessä julkaistun tapausraportin mukaan perusterve 14-vuotias meni ensiapuun valittaen "käheydestä ja nielemisvaikeuksista" kuusi tuntia sen jälkeen, kun oli vahingossa nielaissut neljännesdollarin.
– Vahingossa niellyt vierasesineet kulkeutuvat yleensä ruokatorveen, tapausraportissa kerrotaan.
Raportissa kerrotaan, että isompien lasten tapauksessa ne päätyvät yleensä henkitorveen tai keuhkoputkeen, ei kurkkuun, kuten tässä tapauksessa. Syynä on painovoima ja hengitysteiden suurempi koko.



