Yhdynnässä ollut mies ei osunut kohteeseensa ja mursi peniksensä pituussuunnassa. Epätavallisesta onnettomuudesta kertoo muiden muassa brittilehti The Sun.
Penismurtuma on harvinainen muttei tavaton vamma, jonka yleisin aiheuttaja on siittimen vääntyminen tai muu kolhaisu yhdynnän aikana.
Useimmiten murtuma tapahtuu kuitenkin poikittaissuunnassa. Eräs brittimies tekikin lähestulkoon lääketieteellistä historiaa murtaessaan siittimensä pituussuunnassa valitettavan hutiosuman vuoksi. Lääkärien mukaan kyseessä on ensimmäinen raportoitu tapaus.
Lääkärit kirjoittavat tapauksesta vertaisarvioidussa BMJ Case Reports -julkaisussa. Yhdynnässä olleen 40-vuotiaan miehen penis taipui pituussuunnassa, kun hän törkkäsi vahingossa siittimellään petikumppaniaan välilihaan eli anuksen ja genitaalien väliin.
Lue myös: Nainen teki klassisen suuseksimokan – miehen penis alkoi muuttua pikimustaksi
Murtuma aiheutti epätavallisia oireita
Penismurtuman tavallisia oireita ovat napsahtava tunne elimessä ja sitä seuraava välitön erektion loppuminen. Murtuma aiheuttaa kipua sekä turvotusta ja mustelman siittimeen.
Brittimiehen tapauksesta erityisen erikoisen tekee se, että murtuman seurauksena penis veltostui vähitellen. Siitin ei turvonnut kovin paljoa eikä siinä tuntunut "napsahdusta".
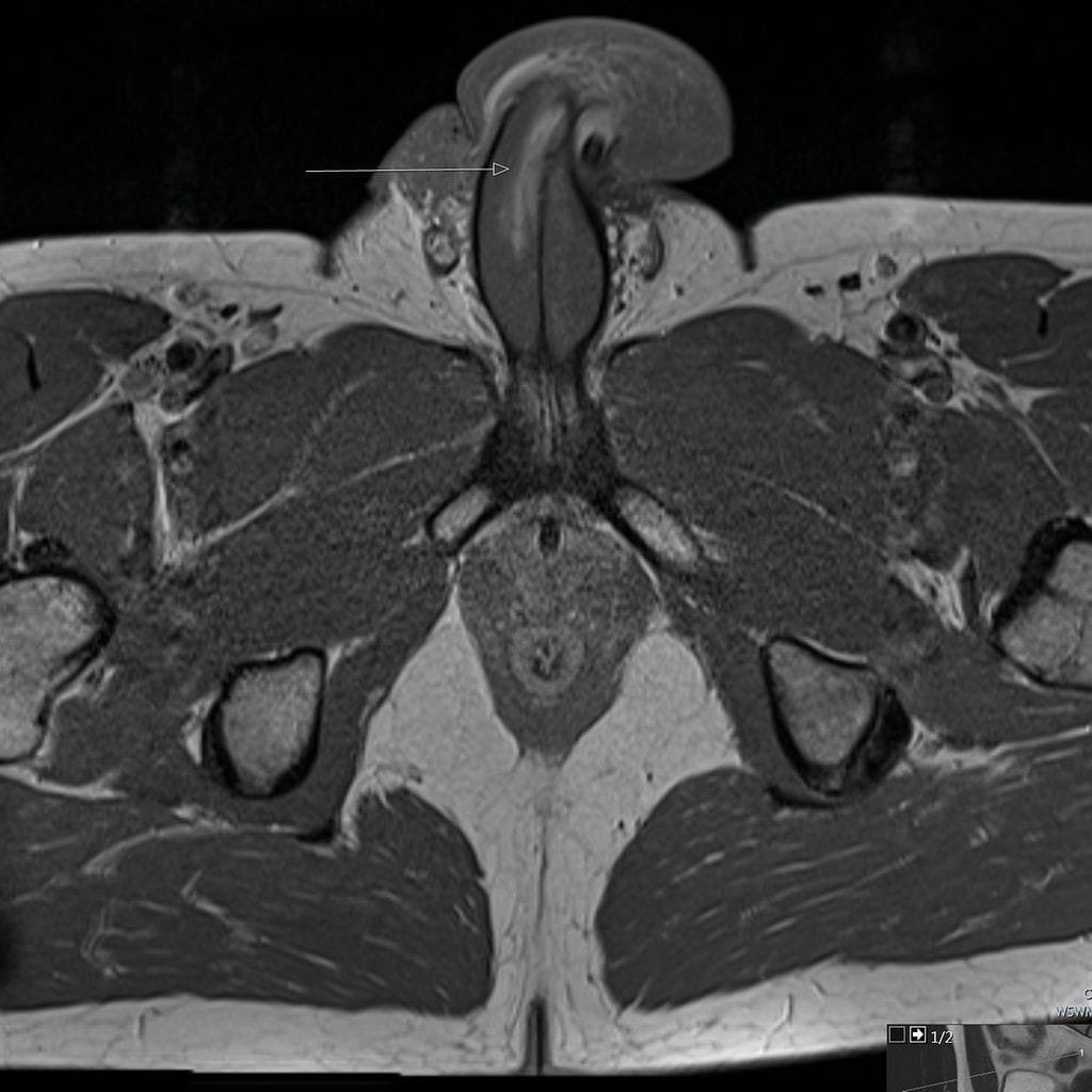
Magneettikuvaus kuitenkin paljasti, että siittimen paisuvaiskudosta ympäröivä valkokalvo oli repeytynyt. Peniksessä oli kolmen senttimetrin mittainen pituussuuntainen repeämä.
Lääkärit pohtivat raportissaan, että peniksen murtuminen pituussuunnassa voi mahdollisesti vaikuttaa oirekuvaan tai korjausleikkauksen jälkeisiin pitkäaikaisiin seurauksiin.


