20-vuotiaan Sydneyn nännilävistykset paljastuivat lääkärin vastaanotolla.
Video: Toimittaja testasi, miten botox todellisuudessa toimii!
Sydney Allen, 20, hankki nännilävistykset salaa. Amerikkalaistytön salaisuus kuitenkin paljastui yllättävää reittiä, kertoo Buzzfeed.
Vanhemmat eivät hyväksy kehonmuokkausta
Allen sai lävistykset lahjaksi siskoltaan, ja kumpikin lupasi säilyttää salaisuuden. Allenin vanhemmat ovat "hieman konservatiivisia", eivätkä he pidä tatuoinneista tai lävistyksistä.
– Koska en yleensä ole ilman paitaa, ajattelin, että tämä salaisuus olisi helppo pitää, Allen sanoo.
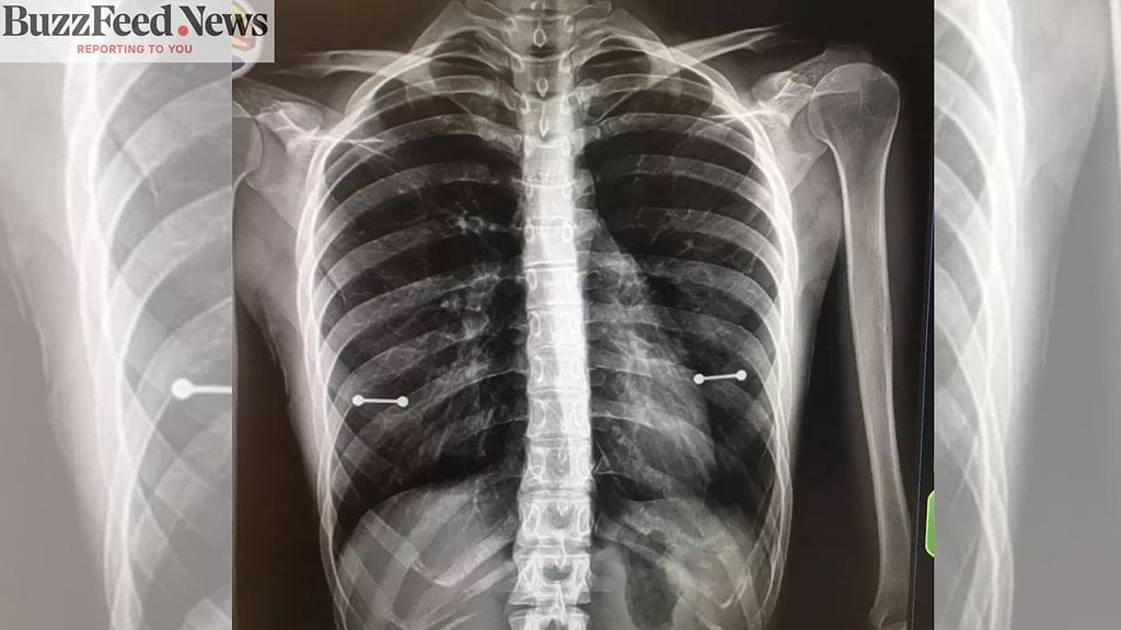
Allenilla on kuitenkin harvinainen tila, joka vaikuttaa hänen selkärankaansa. Rutiinitarkastuksessa Allenista otettiin röntgenkuva.
Röntgenkuva narautti lävistetyn
Kun lääkäri esitteli röntgenkuvaa, Allen äiteineen havaitsi kaksi lävistyskorua kuvassa nännien kohdalla.
– Äiti näki lävistyskoruni heti, kun röntgenkuva näytettiin, ja aloin nauraa hysteerisesti, Allen muistaa.

