Vauvan ja äidin henkikulta oli vaarassa, kun raskaushormoneista villiintynyt hirviökasvain uhkasi murskata odottavan äidin keuhkot ja sydämen. Hiuksista ja hampaista muodostunut kasvain oli elänyt hiljaiseloa äidin kehossa jo vuosikymmenet.
Nuori brittiäiti Nicola Ellington, 26, iloitsi raskaudestaan tietämättä, että hänen kehossaan kasvoi tappava epämuodostumakasvain, teratooma. Teratooma tarkoittaa kreikaksi hirviötä - nimi on osuva, sillä kasvain koostuu kudoksesta jossa voi olla esimerkiksi hampaita ja hiuksia.
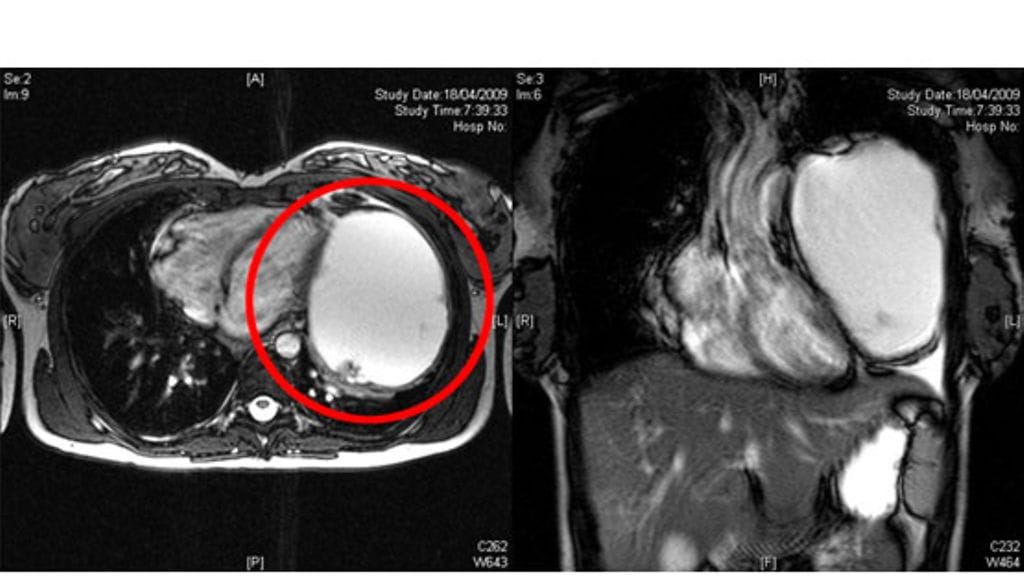
Kasvain oli elänyt hiljaiseloa Nicolan kehossa jo vuosikymmenet, mutta raskaushormonit villitsivät sen kasvuun.
Kun Nicola oli 13. raskausviikolla, äidin rinnassa ollut kasvain oli jo vesimelonin kokoinen. Lääkärit päättivät poistaa epämuodostumakasvaimen, sillä muutoin äiti ja vauva olisivat menehtyneet.
Jättikasvain jäi huomaamatta - lääkäri piti paniikkikohtauksena
Peterboroughssa asuva Nicola oli valitellut kipujaan koko raskauden ajan, mutta kahdessa eri sairaalassa hänelle oli vain määrätty morfiinia kipuun.

– Olin niin huolissani lapseni puolesta, mutta lääkärit lähettivät minut matkoihini särkylääkkeiden kanssa ja sanoivat, että kipu oli ihan normaalia.
– Yhtenä yönä isäni vei minut ensiapuun, koska en saanut henkeä, mutta sieltä minut käännytettiin kotiin ja todettiin, että kyse oli vain paniikkikohtauksesta.
Hän oli kuitenkin päättänyt selvittää kipujensa syyn ja kääntyi sydänlääkärin puoleen. Magneettikuvaukset paljastivat valtaisan, jo keuhkojen suuruisen kasvaimen rinnassa.
Äiti halusi suostua leikkaukseen lapsensa vuoksi.
– Kivut olivat ihan sanoinkuvaamattomat. Ne alkoivat lähes heti, kun tulin raskaaksi. Tuntui kuin joku murskaisi rintaani, nainen kuvaili.
– Oli shokki kuulla, että minulla oli kasvain rinnassa enkä ollut tiennyt siitä mitään. En voinut uskoa todeksi, kun minulle kerrottiin millaisesta kasvaimesta on kyse, ja että sisälläni oli hampaita ja hiuksia. Ihan kuin sisälläni olisi kasvanut hirviö.
Nicolan mukaan kipu tuntui siltä kuin joku painaisi hänen rintalastaansa eikä hän saanut kunnolla happea.

Perhe vaati aborttia
– Perheeni sanoi, että minun pitäisi harkita arbottia, koska leikkaus oli iso riski. Halusin kuitenkin leikkaukseen tyttäreni takia. Operaation jälkeen minulle näytettiin ultraäänikuvia, joiden mukaan vauva oli kunnossa ja "hirviö" oli poissa. Olin todella helpottunut.
Kirurgit eivät voineet leikata Nicolaa heti, kun kasvain huomattiin, sillä hänen vauvansa kehitys oli niin herkässä vaiheessa. Koska hirviökasvain kuitenkin kasvoi ja esti jo vauvan hapensaannin, oli leikkausta pakko kiirehtiä. Kesällä 2009 kirurgit tekivät leikkauspäätöksen ja ahkeroivat kahden tunnin ajan pelastaakseen kaksi elämää.
Hengenvaarallinen leikkaus oli laatuaan ensimmäinen koko maailmassa, ja se tehtiin University Hospital Coventry -sairaalassa West Midlandissa.
Nicola oli sairaalassa tyttärensä Layla Skyn syntymään asti. Terve tytär syntyi joulukuussa 2009 ja hän painoi noin 3,5 kg. Nicola on kiitollinen kirurgi Joseph Marzoukille sekä sydänlääkäri Dawn Adamsonille, jotka pelastivat kaksi elämää.
Teksti: MTV3/Helmi
Lähde ja kuvat: Caters News
