Väärin aseteltu kuukautiskuppi haittasi virtsan virtausta.
Kuukupin vääränlainen asemointi johti harvinaisiin ongelmiin. BMJ Case Reports -lehdessä julkaistu tapausraportti kertoi harvinaisesta tilanteesta, jossa kuukuppia käyttäneelle naiselle oli kehittynyt hydronefroosi eli vesimunuainen.
Lue myös: Tutkijat löysivät "ikuisia kemikaaleja" kuukautistuotteista
Kuppi oli sijoitettu aivan virtsaputken aukon viereen
Noin kolmekymppinen nainen saapui lääkäriin havaittuaan verta virtsassaan. Hänellä oli kipuja oikeassa kyljessä ja lantiossa. Kipuja oli ollut epäsäännöllisesti noin puolen vuoden ajan.
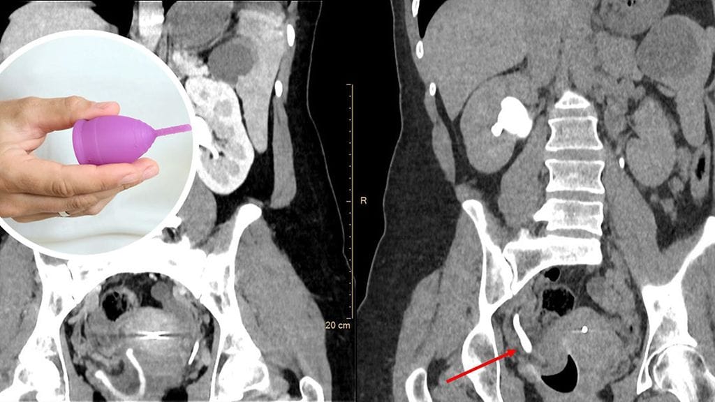
Naiselta oli vuosia aiemmin poistettu munuaiskivi, ja hän käytti kuparikierukkaa. Kahtena päivänä kuukaudesta nainen käytti kuukuppia, jonka tyhjensi 2–3 tunnin välein. Kuppi oli L-kokoinen. Sen läpimitta oli 46 millimetriä.
Kuvauksissa paljastui, että kuukuppi oli sijoitettu aivan virtsaputken aukon viereen. Oikea munuainen ja virtsanjohdin olivat turvonneet.
Lue myös: Kuukautissuojien imukykyä testattiin ensimmäistä kertaa verellä
Kuukuppi esti virtsan virtauksen
Naista kehotettiin olemaan käyttämättä kuukuppia seuraavien kuukautisten aikana. Kuukauden kuluttua otetuissa kuvissa turvotus oli laskenut ja virtsaa poistui molemmista munuaisista tavanomaisesti.

