Jonna ei saanut korjattua ryhtiään, vaikka siitä kuinka hänelle paasattiin. Aikuisena selvisi, että hänellä on Scheuermannin tauti, jossa selkärangan nikamat kasvavat väärin. Taudin alkuvaiheessa hoito olisi ollut helppoa, mutta Jonnalla ei ollut muuta vaihtoehtoa kuin mennä vaikeaan leikkaukseen.
”Selkä suoraksi!” Tätä nuorelle Jonna Monoselle toitotettiin monta kertaa päivässä. Murrosiän alkuvaiheessa Jonnan selkä alkoi painua kumaraan ja jonkin verran hänellä oli kipujakin selässä. Lääkärit, opettajat sekä fysioterapeutit syyttivät vaivasta Jonnan laiskuutta, vielä aikuisenakin.
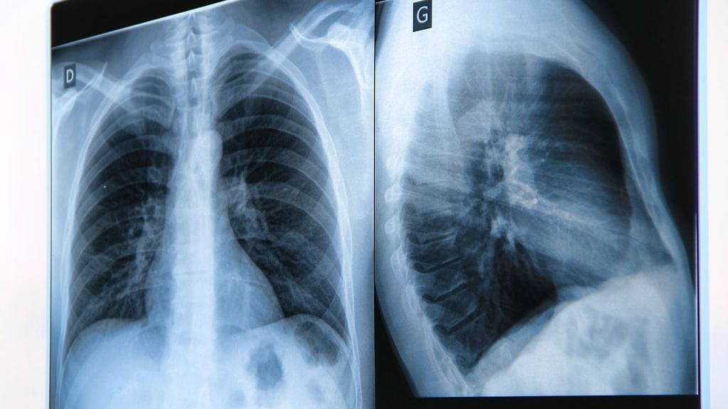
Vuonna 2011 kolmekymppinen Jonna muutti poikaystävänsä luo Saksaan. Tuore avomies totesi heti, että Jonnan selkä on vino. Jonna meni tapaamaan lääkäriä, joka otti selästä röntgenkuvan. Pian Jonna sai kuulla, että hänellä on Scheuermannin tauti.
– Kun murrosiässä tapahtuu kasvupyrähdys, selkärangan nikamat alkavat kasvaa väärällä tavalla. Selkä alkaa painua kumaraan, mikäli taudin etenemistä ei pysäytetä erilaisin hoitotoimin. Jos tauti etenee, voi seurauksena olla niin paha kyttyräselkäisyys, että selkäydin, sydän ja keuhkot alkavat kärsiä, Jonna selvittää.
Hän toteaa, että tauti on helposti hoidettavissa oireiden ja röntgenkuvan perusteella. Jos diagnoosi tehdään ajoissa, voidaan selkäranka saada kasvamaan oikeaan asentoon fysioterapian ja tukikorsetin avulla.
– Minun kohdallani hoitona oli haukkuminen kyttyräseläksi ja toinen toistaan äkäisemmät vaatimukset suoristaa ryhti. Minulla teetettiin erilaisia voimisteluliikkeitä, jotka vain pahensivat selkäongelmia, Jonna harmittelee.
Ja nyt riitti yksi ainoa rivilääkärin määräämä röntgenkuva selvittämään, mikä Jonnaa oikeasti vaivaa.
– Diagnoosi oli pahempi isku vanhemmilleni, sillä heille tuli kannettavaksi raskas syyllisyyden taakka. Eivätkä he kuitenkaan syyllistyneet muuhun kuin lääkäreiden ja fysioterapeuttien ohjeiden noudattamiseen, Jonna toteaa.
Leikkaus ainoa vaihtoehto
Jonnan kohdalla Scheuermannin tauti oli ehtinyt edetä jo pitkälle. Saksassa on oikeus valita hoitavat lääkärit, joten Jonna etsi käsiinsä kaksi selkärankasairauksiin erikoistunutta ortopedia. Molemmat vahvistivat, että leikkaus on ainoa hoitokeino, jos Jonna haluaa liikkua viisikymppisenä ilman rollaattoria.


