Oletko aina ajatellut, että kun reikä hampaassa on paikattu, niin ongelma on poistettu? Uusi hampaan paikkaushoidon Käypä hoito -suositus muistuttaa, ettei karies pysähdy paikkaamalla vaan tehostamalla suunhoitoa ja muuttamalla ruokatottumuksia.
Katso jutun alussa olevalta videolta, miten hampaat harjataan oikeaoppisesti.
Suomessa tehdään vuosittain yhteensä yli kolme miljoonaa paikkaushoitotoimenpidettä. Hampaiden paikkaamiseen ja paikkojen korjaamiseen kuluu jopa puolet hammaslääkärien työajasta.
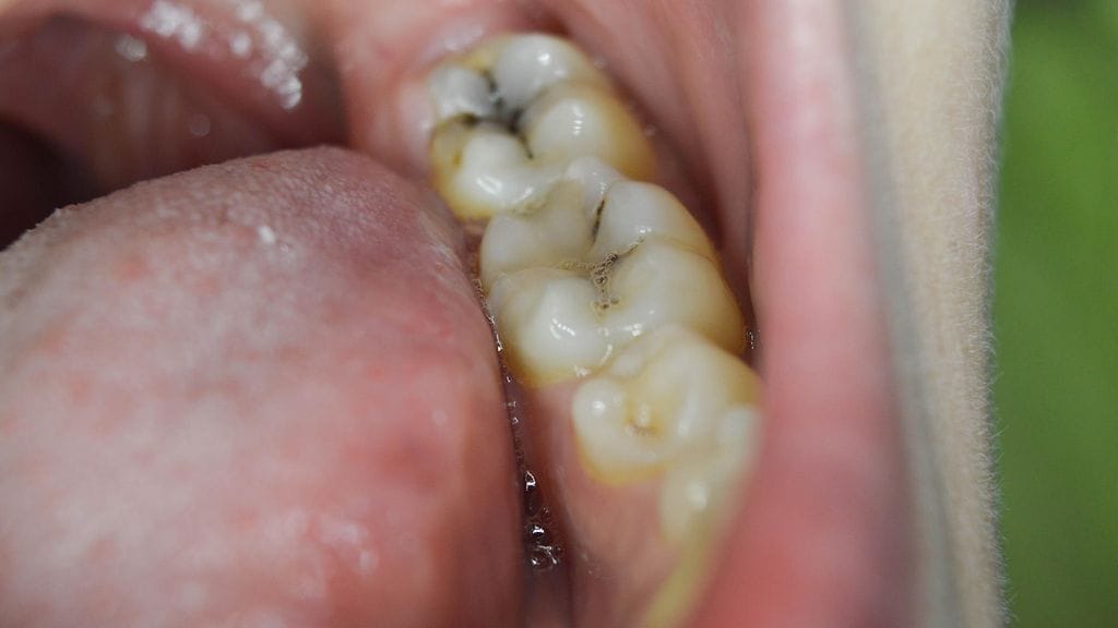
Paikkaushoidon yleisin syy, karies – muita syitä ovat hampaan tai paikan lohkeaminen sekä hampaiden kulumisen aiheuttamat vauriot –, olisi estettävissä ja pysäytettävissä yksinkertaisin keinoin.
Lue myös: Kahdeksan merkkiä reiästä hampaassa
On tärkeää ymmärtää, että karies ei pysähdy paikkaamalla. Paikkaamalla estetään vain hampaassa olevan kariesvaurion suureneminen ja mahdollistetaan hampaiston kunnollinen puhdistaminen.
Ensisijainen tavoite karieksen hoidossa on estää hampaiden reikiintyminen jo ennalta riskitekijöihin puuttumalla sekä pysäyttää jo aiheutuneet vauriot.
– Kariesta hoidetaan ensisijaisesti hyvän omahoidon, fluoridien käytön ja järkevän ruokavalion avulla. Potilaan oma rooli on hyvin tärkeä. Hammaslääkäri ja potilas voivat saada aikaan tuloksia aktiivisella yhteistyöllä, hammaslääketieteen tohtori ja erikoishammaslääkäri sanoo.


