Viattomasta tykytyksestä hillittömäksi säryksi muuttunut hammaskipu paljasti Anun hampaan juureen unohtuneen neulan palan. Koska Anu ei ollut osannut pyytää itselleen kopioita eri paikoissa vuosien aikana tehdyistä toimenpiteistä, syyllinen jää luultavasti löytymättä ja korvaukset saamatta. Anun luottamus hammaslääkäreihin on heikentynyt.
Eräänä perjantai-iltana viime kesänä Anun hammasta alkoi jomottaa.
– Tunsin tykytystä ylhäällä vasemmalla. Otin särkylääkettä enkä ajatellut asiasta sen kummempia. Mutta lääke ei auttanut: ien turposi, ja yhtäkkiä iski ihan todella hirveä kipu, Anu kertoo.
Anu pääsi seuraavana päivänä päivystykseen kunnalliselle hammaslääkärille.
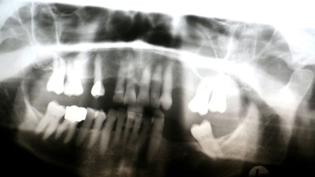
– Röntgenkuvissa näkyi erittäin paha tulehdus. Hammassillan kantavan hampaan paikkaa hiottiin, jottei se ottaisi kiinni alahampaaseen. Olo helpottui hieman. Muuta ei kuulemma voinut tehdä.
– Lauantai meni hionnan jälkeen mukavasti, mutta sunnuntaina alkoi taas aivan kamala särky. Keskiviikkona pääsin omalle yksityiselle hammaslääkärilleni. Pyysin häntä kuvaamaan hampaan aivan juuresta melkein silmän alapuolelta, sillä niillä paikkeilla tuntui jotenkin oudolta.
Röntgenkuvasta selvisi, että juuressa oli neulan pala.
– Ajattelin, ettei voi olla totta! Se nökötti siellä mädättäen luuta ja lihaa samassa paikassa, johon oli joskus aikaisemmin tehty juurihoito. Koska tulehdus oli todella paha ja leikkaus tehtävä pikimmiten, jouduin antibioottikuurille.
Poskiontelotulehdukset loppuivat
Tulehdus sekä kivut poistuivat antibiooteilla ja särkylääkkeillä. Vajaan kuukauden päästä Anu pääsi leikkaukseen.
– Pelkäsin, että se sattuisi, mutta lääkäri hoiti homman todella hienosti paikallispuudutuksessa. Ien halkaistiin ja leikattiin. Noin tunnissa neulan pala oli poistettu, Anu kertoo.



