Kovista vatsakivuista kärsineen miehen oireiden syyksi paljastui todella odottamaton yllätys, kun lääkärit löysivät miehen elimistöstä kemikaaleja vatsalaukkuun vuotavan tupakansytyttimen.
Tapaus esiteltiin lääketieteellisessä Case Reports Emergency Medicine -julkaisussa tämän vuoden elokuussa. Raportin mukaan mies kirjautui reilu vuosi sitten sairaalaan voimakkaiden vatsakipujen ja pahoinvoinnin vuoksi.
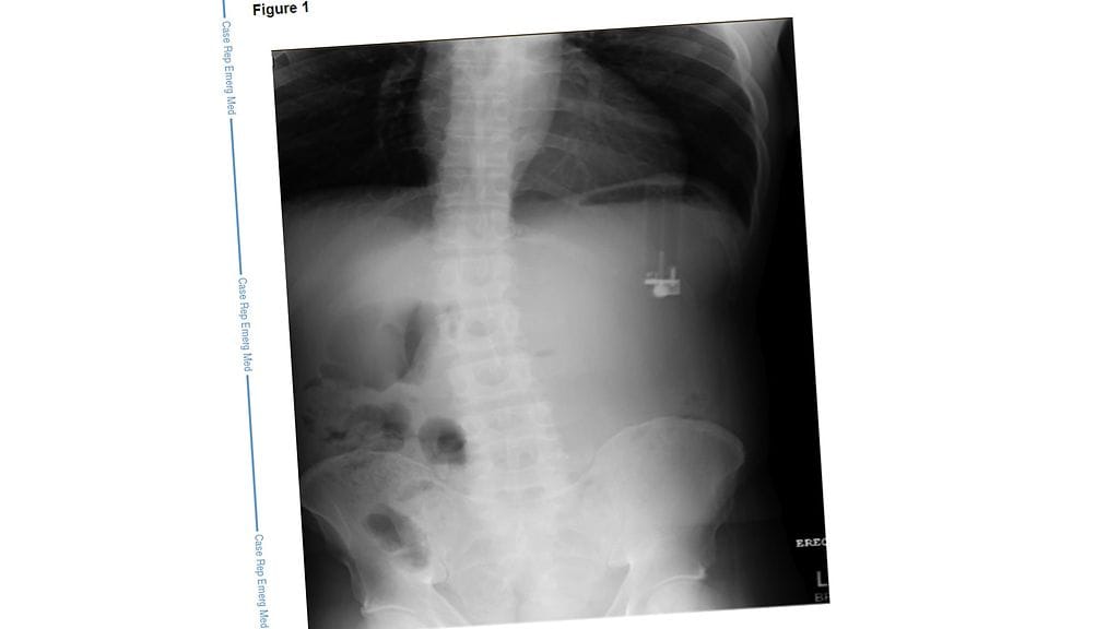
Floridalaisessa sairaalassa miehen veri- ja virtsakokeissa ei löydetty mitään poikkeavaa, mutta röntgenkuvaus paljasti miehen vatsasta vieraan esineen. Röntgenkuvassa näkyi selvästi ylösalaisin oleva tupakansytytin, jonka todettiin vuotavan myrkyllisiä kemikaaleja miehen suolistoon. Nämä kemikaalit olivat kehittäneet miehelle vuotamattoman mahahaavan, jonka läpimitta oli 5 millimetriä leveimmässä kohdassa.
Sytyttimien kemikaalit syövyttivät mahalaukun suojakerrosta
Raportin mukaan tupakansytytin aiheuttaa elimistöön päädyttyään ainutlaatuisen ongelman, sillä sen lisäksi, että sen muoto voi johtaa tukokseen, sen sisällön vuotaminen voi olla henkilön kannalta hengenvaarallista. Tupakansytyttimen sisältämiä haitallisia aineita ovat muun muassa bentseeni, butaani, heksamiini ja propaani.
Sytyttimen sisältämät kemikaalit eivät olleet yksinomaan vastuussa reiän syöpymisestä miehen mahalaukun kudoksiin, vaan myös miehen omilla mahahapoilla oli osuutensa asiaan. Kemikaalit olivat kuitenkin edistäneet reiän syntymistä, sillä ne olivat syövyttäneet mahalaukkua mahahapoilta suojaavan limakalvokerroksen pois.
Sytytin saatiin poistettua miehen elimistöstä onnistuneesti, ja kahdeksan viikon lääkekuurin jälkeen haavauman todettiin parantuneen toivotulla tavalla.

