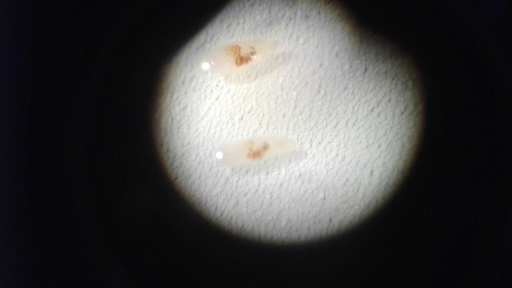
Suomenlahdesta pyydetyistä särjistä on löydetty imumatojen toukkamuotoja, kertoo elintarviketurvallisuusvirasto Evira.
Maksamadot voivat tarttua raakaa kalaa syöviin koiriin, kissoihin ja ihmisiin
Evira suositteleekin pakastamaan kotona ruuanlaitossa ne kalat, joita ei kuumenneta ennen syömistä. Särkikaloille Evira suosittelee vähintään seitsemän vuorokauden pakastamiskäsittelyä.

