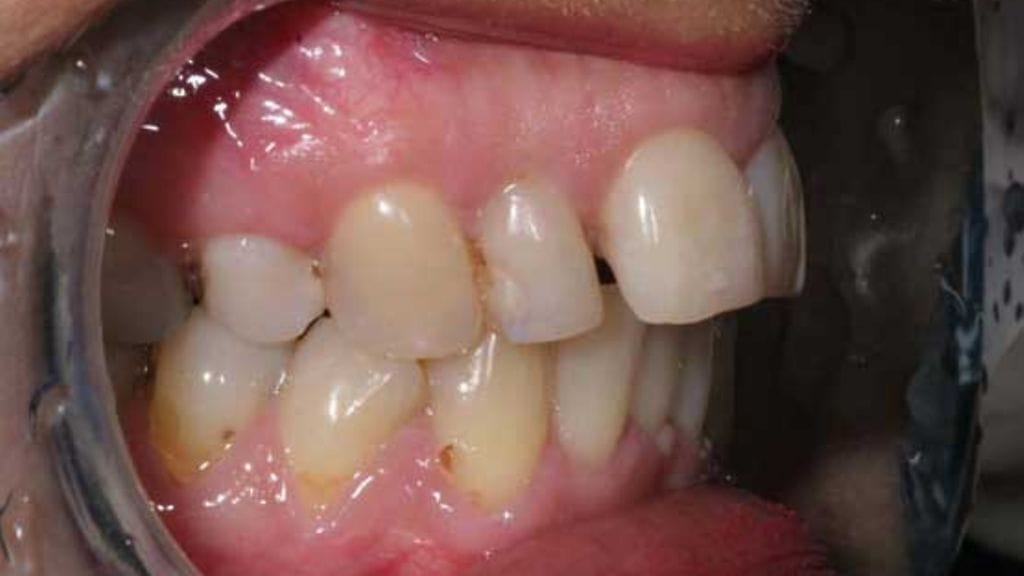
Hampaiden ulkonäköä pystytään tänä päivänä kohentamaan monin konstein. Katso kuvagalleriasta hämmästyttävät muutokset toimenpiteiden myötä!
Juttuun upotettavan kuvagallerian hallinta-artikkelin id

Hampaiden ulkonäköä pystytään tänä päivänä kohentamaan monin konstein. Katso kuvagalleriasta hämmästyttävät muutokset toimenpiteiden myötä!
Juttuun upotettavan kuvagallerian hallinta-artikkelin id