Urology Case Reports -julkaisussa ilmestynyt tapausraportti osoittaa, miksi kiusallisiinkin ongelmiin kannattaa hakea apua ajoissa.
Lääkärit kirjoittavat 43-vuotiaasta panamalaismiehestä, joka saapui paikalliseen sairaalaan korkean kuumeen ja tihentyneen sykkeen vuoksi. Lisäksi miehen kivespussi oli turvonnut varsin massiivisen kokoiseksi. Niin massiiviseksi, että mies pystyi kävelemään vain rollaattorin avulla. Miehen äiti huolehti aikuisen lapsensa päivittäisistä tarpeista, lääkärit kirjoittavat.
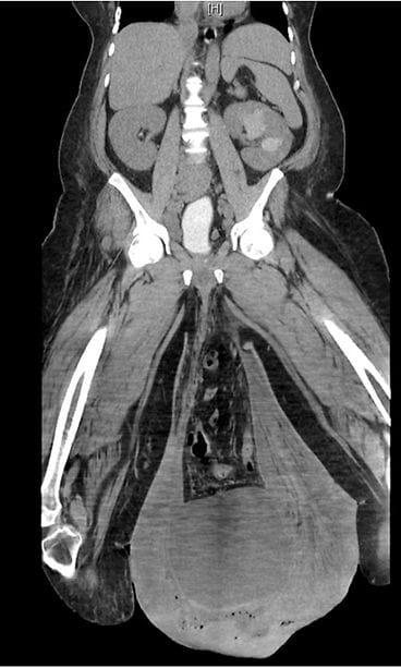
Mies kertoi lääkäreille, että hänen kivespussinsa oli turvonnut turpoamistaan kolmen vuosikymmenen ajan. Mies ei ollut hakenut aiemmin apua asiaan, vaikka jopa hänen peniksensä oli hautautunut kivespussien alle.
Sairaalaan saapuessaan miehen kivespussi roikkui jo polvien kohdalla. Lisäksi kivespussin iho oli paksuuntunut ja siinä oli märkiviä avohaavoja, joista tihkui ulos pahanhajuista nestettä.
Kivespussit jouduttiin poistamaan kokonaan
Tutkimuksissa lääkärit löysivät miehen sisuksista suuren tyrän. Hoitamaton tyrä oli johtanut lymfedeemaan, imunestekierron häiriöön, joka paheni asteittain.
Miehellä diagnosoitiin Fournier’n gangreeni, joka on kuolioita aiheuttava bakteeritulehdus miehen genitaalialueella. Verenmyrkytyksen ja lihan mädäntymisen riskin vuoksi potilas vietiin nopeasti leikkaussaliin.
Leikkauksessa kirurgit poistivat kivespussista tulehtunutta ihoa ja löysivät ihonalaisista rasvakudoksista kuolioita sekä lisää haavoja. Viisi päivää leikkauksen lääkärit joutuivat poistamaan miehen kivespussit. Lopputuloksen voit katsoa tapausraportista. Varoitus: Raportin kuvat voivat järkyttää.

